Tẩy trắng răng là giải pháp thẩm mỹ được nhiều người lựa chọn nhằm cải thiện tình trạng răng ố vàng, xỉn màu, giúp nụ cười trở nên rạng rỡ và tự tin hơn. Tuy nhiên, không phải ai cũng đủ điều kiện để tẩy trắng răng, đặc biệt là những trường hợp đang bị sâu răng. Trên thực tế, rất nhiều khách hàng tại Nha khoa Tâm Thiện Mỹ – Hưng Yên thắc mắc:
👉 Bị sâu răng có tẩy trắng răng được không?
👉 Tại sao bác sĩ khuyên không nên tẩy trắng khi đang sâu răng?
Bài viết dưới đây sẽ giúp bạn hiểu rõ lý do vì sao bị sâu răng không được tẩy trắng răng, những nguy cơ tiềm ẩn nếu cố tình thực hiện, và hướng xử lý đúng chuẩn nha khoa.
Sâu Răng Là Gì? Vì Sao Cần Điều Trị Trước Khi Làm Trắng Răng?
Sâu răng là tình trạng:
-
Men răng và ngà răng bị phá hủy
-
Hình thành lỗ sâu, hốc răng
-
Vi khuẩn xâm nhập sâu vào cấu trúc răng
👉 Khi răng bị sâu, bề mặt răng không còn nguyên vẹn, độ nhạy cảm tăng cao và dễ tổn thương trước các tác động hóa học, trong đó có thuốc tẩy trắng răng.
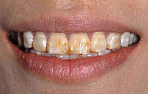
Răng bị sâu có tẩy trắng được không?
Những ai vệ sinh răng miệng không đúng cách sẽ gặp các vấn đề như sâu răng, mất răng. Thức ăn còn dính ở kẽ răng sẽ là điều kiện cực kỳ thuận lợi cho vi khuẩn sinh sôi phát triển, tấn công răng và gây ra các vấn đề về răng miệng. Ban đầu sẽ xuất hiện các chấm đen trên răng, thời gian dài sẽ ăn sâu vào tủy răng, khi tủy răng bị tổn thương sẽ dần xuất hiện các lớp ngà, ố vàng ở bề mặt răng. Sâu răng sẽ ảnh hưởng đến sức khỏe răng miệng và tính thẩm mỹ của người bệnh. Nên rất nhiều người băn khoăn răng bị sâu có thể tẩy trắng không?. Theo các bác sĩ chuyên khoa thì việc tẩy trắng cho răng sâu không hiệu quả và còn gây ra nhiều hệ lụy như:
- Thuốc tẩy răng sẽ khiến cho răng sâu ê buốt, khó chịu hơn rất nhiều.
- Răng yếu hơn, khả năng nhai giảm đi đáng kể.
- Dễ mắc các vấn đề viêm nhiễm răng miệng như viêm nha chu, viêm tủy răng, viêm lợi.
- Thuốc tẩy trắng khi đi vào tủy răng sẽ gây áp xe, nhiễm trùng rất nguy hiểm.

Do đó, câu hỏi răng bị sâu có tẩy trắng được không đã được các bác sĩ khuyên là không nên tẩy trắng răng mà hãy điều trị răng sâu trước. Sau khi răng đã được điều trị, có thể áp dụng các phương pháp hiện đại trong nha khoa để cải thiện tính thẩm mỹ cho răng miệng, đồng thời đảm bảo an toàn cho sức khỏe của người bệnh.
Thuốc Tẩy Trắng Có Thể Làm Đau Và Ê Buốt Nghiêm Trọng
Các chất tẩy trắng răng (Hydrogen Peroxide, Carbamide Peroxide) có khả năng:
-
Thẩm thấu qua men răng
-
Tác động trực tiếp đến ngà răng
👉 Với răng đang bị sâu:
-
Lỗ sâu tạo điều kiện cho thuốc thấm sâu hơn
-
Gây đau nhức dữ dội, ê buốt kéo dài
-
Có thể ảnh hưởng đến tủy răng
Khi tẩy trắng răng trong lúc đang sâu răng:
-
Thuốc dễ xâm nhập vào buồng tủy
-
Vi khuẩn có điều kiện phát triển mạnh hơn
Hậu quả:
-
Viêm tủy răng cấp
-
Đau răng dữ dội, có thể phải điều trị tủy hoặc nhổ răng
👉 Đây là lý do các bác sĩ tại Nha khoa Tâm Thiện Mỹ – Hưng Yên luôn kiểm tra và điều trị sâu răng trước khi tẩy trắng.
Hiệu Quả Tẩy Trắng Không Đồng Đều, Mất Thẩm Mỹ
Răng bị sâu thường có:
-
Màu sẫm, xám, nâu đen
-
Cấu trúc răng không đồng nhất
👉 Khi tẩy trắng:
-
Màu răng không đều
-
Vùng sâu răng không trắng lên
-
Kết quả tẩy trắng kém thẩm mỹ
Không Giải Quyết Được Nguyên Nhân Gốc Rễ
Tẩy trắng răng chỉ là giải pháp thẩm mỹ, không có tác dụng điều trị sâu răng.
Nếu chỉ tập trung làm trắng mà bỏ qua sâu răng:
-
Tình trạng sâu ngày càng nặng
-
Có thể gây mất răng vĩnh viễn
👉 Nguyên tắc nha khoa: “Điều trị bệnh lý trước – thẩm mỹ sau”
Tẩy trắng răng sâu thế nào cho an toàn?

Theo các chuyên gia nha khoa, khi bị sâu răng thì tẩy trắng răng không phải là giải pháp an toàn và hiệu quả. Thay vào đó, điều trị sâu răng và chăm sóc răng miệng đúng cách là cách tốt nhất để giữ gìn sức khỏe của răng. Nếu răng sâu nhẹ thì bác sĩ sẽ xử lý răng sâu bằng cách trám, còn răng sâu nặng có thể xử lý hàn kín hoặc nhổ bỏ rồi trồng răng bằng cách bắc cầu răng sứ hoặc implant để thay thế răng đã bị nhổ bỏ.
Nếu bạn muốn tẩy trắng răng một cách an toàn và hiệu quả, hãy tham khảo ý kiến của bác sĩ tại nha khoa Tâm Thiện Mỹ. Bác sĩ sẽ kiểm tra tình trạng răng miệng của bạn và đưa ra lời khuyên về phương pháp tẩy trắng răng phù hợp nhất với tình trạng răng của bạn. Tuy nhiên, hãy nhớ rằng việc tẩy trắng răng chỉ nên được thực hiện sau khi đã điều trị các vấn đề về sức khỏe răng miệng, bao gồm sâu răng, viêm nhiễm, hoặc xỉn màu răng.
Tẩy Trắng Răng Khi Bị Sâu Và Khi Răng Khỏe Mạnh
| Tiêu chí | Răng đang bị sâu | Răng khỏe mạnh |
|---|---|---|
| Độ an toàn | ❌ Không an toàn | ✅ An toàn |
| Mức độ ê buốt | Rất cao | Thấp |
| Nguy cơ viêm tủy | Cao | Thấp |
| Hiệu quả thẩm mỹ | Kém | Cao |
| Thời gian duy trì | Ngắn | Lâu dài |
Chế độ dinh dưỡng để răng luôn trắng sáng và chắc khỏe
Để có răng luôn trắng sáng và chắc khỏe, cần bổ sung các chất dinh dưỡng cần thiết cho cơ thể, đặc biệt là cho răng và xương. Sau đây là một số lời khuyên về chế độ ăn uống:
- Uống nhiều nước: Đảm bảo cung cấp đủ lượng nước hằng ngày để giúp đẩy các tạp chất ra khỏi răng.
- Ăn nhiều rau xanh và trái cây: Các loại rau xanh và trái cây giàu vitamin và khoáng chất, đặc biệt là canxi và vitamin C, có tác dụng giữ cho răng chắc khỏe và ngăn ngừa sâu răng.
- Tránh đường và thực phẩm giàu carbohydrate: Thức ăn giàu đường và carbohydrate có thể làm tăng nguy cơ sâu răng và mòn men răng. Nếu bạn muốn ăn thực phẩm này, hãy đảm bảo vệ sinh răng miệng ngay sau khi ăn.
- Bổ sung canxi: Canxi là thành phần quan trọng của xương và răng. Bạn có thể bổ sung canxi bằng cách ăn thực phẩm như sữa, sữa chua, phô mai, các loại đậu và cá.
- Ăn thực phẩm giàu protein: Protein là thành phần cần thiết để tạo ra mô xương và răng khỏe mạnh. Bạn có thể bổ sung protein từ các nguồn như thịt, trứng, đậu các loại.
- Tránh thuốc lá và rượu: Thuốc lá và rượu có thể gây hại cho răng và gây mòn men răng. Nếu bạn muốn giữ cho răng trắng sáng và khỏe mạnh, hãy tránh những thói quen này.
KẾT LUẬN
Bị sâu răng không được tẩy trắng răng vì có thể gây đau nhức nghiêm trọng, viêm tủy và giảm hiệu quả thẩm mỹ, thậm chí ảnh hưởng lâu dài đến sức khỏe răng miệng. Điều quan trọng nhất là điều trị sâu răng triệt để trước, sau đó mới tiến hành tẩy trắng để đảm bảo an toàn – hiệu quả – bền lâu.
Nếu bạn đang có nhu cầu tẩy trắng răng nhưng nghi ngờ bị sâu răng, hãy đến Nha khoa Tâm Thiện Mỹ – Hưng Yên để được thăm khám, tư vấn và xây dựng lộ trình điều trị phù hợp nhất cho từng tình trạng răng.
👉 Nha khoa Tâm Thiện Mỹ – Điều trị chuẩn y khoa, thẩm mỹ an toàn, nụ cười bền lâu!
Hệ thống cơ sở tại:
Liên hệ ngay để được tư vấn miễn phí!

Hotline: 0971 634 999
Đặt lịch hẹn nhanh chóng – Tiện lợi – Không chờ đợi!

