Đặt chun tách kẽ răng là gì?
Thun tách kẽ răng (Orthodontic Separators) là những vòng cao su nhỏ, có độ đàn hồi cao, được nha sĩ sử dụng trong giai đoạn đầu của quá trình niềng răng mắc cài, thường đặt vào kẽ giữa răng số 6 và số 7.
Mục đích của việc sử dụng thun tách kẽ là tạo một khoảng cách nhỏ giữa hai răng, giúp việc gắn khâu niềng (Orthodontic bands) lên răng hàm dễ dàng, chính xác và an toàn hơn.
Đây là một thủ thuật quan trọng nhưng thường bị bỏ qua trong tư duy bệnh nhân, trong khi nó đóng vai trò quyết định đến việc đặt khí cụ niềng có đúng kỹ thuật hay không.

Đặt thun tách kẽ có tác dụng gì?
Tạo khoảng cách giữa các răng để đặt khâu niềng
-
Các răng trong cung hàm thường khít sát nhau, đặc biệt là ở vùng răng hàm lớn.
-
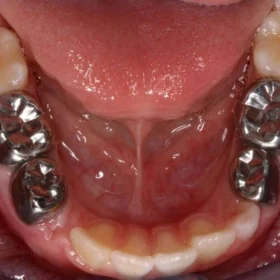
Khi chuẩn bị niềng răng, bác sĩ cần đặt khâu ôm quanh răng hàm, giúp cố định dây cung và truyền lực chỉnh nha hiệu quả.
-
Nếu không tách kẽ, việc đưa khâu vào sẽ rất khó khăn, có thể gây tổn thương mô nướu, chảy máu hoặc làm sai lệch vị trí khí cụ.
Giúp quá trình niềng răng diễn ra suôn sẻ, đúng kỹ thuật
-
Thun tách kẽ giúp răng di chuyển nhẹ nhàng, mở rộng khe răng từ 0.3 – 1 mm trong vài ngày.
-
Nhờ đó, khâu niềng được đặt đúng vị trí, giúp lực siết từ dây cung truyền đều và hiệu quả, tránh sai lệch răng hoặc kéo dài thời gian niềng.
Giảm đau khi gắn khí cụ
-
Nếu cố gắng đặt khâu vào răng khít nhau, bạn có thể bị đau dữ dội.
-
Thun giúp tiền điều chỉnh vị trí răng, giúp bạn giảm đau đáng kể khi bước vào giai đoạn chính thức niềng răng.
Ai cần phải gắn chun tách kẽ răng?
Gắn thun kẽ răng là thủ thuật mà phần lớn mọi người đều trải qua khi chỉnh nha. Tuy nhiên không phải trường hợp nào cũng đều phải thực hiện thủ thuật này.
Tại nha khoa Tâm Thiện Mỹ, các trường hợp cần đặt thun tách kẽ răng:
- Răng mọc lệch lạc, răng khấp khểnh, răng chen chúc nhau quá mức với các kẽ răng khít sát.
- Răng mọc quá sát nhau, không có khoảng trống để đặt khâu niềng răng (band).
Ngoài ra, việc đặt thun tách kẽ thường được chỉ định trong lần hẹn thứ 2, số lượng thun đặt vào cung hàm có thể từ 1 – 12 chiếc, tùy vào tình trạng răng miệng.
Đặt thun tách kẽ có đau không?
Đây là câu hỏi được rất nhiều người niềng răng quan tâm tới.
Thực tế, việc đặt thun tách kẽ có thể gây ê buốt, căng tức nhẹ, nhưng đây là biểu hiện bình thường và hoàn toàn kiểm soát được:
-
Cơn ê buốt xuất hiện sau vài giờ, kéo dài 1 – 3 ngày.
-
Cảm giác khó chịu khi ăn nhai, đặc biệt với đồ ăn cứng.
-
Có thể cảm thấy có dị vật vướng víu trong miệng.
Lưu ý: Nếu cơn đau kéo dài trên 5 ngày hoặc thun rơi, bung ra, hãy đến Nha khoa Tâm Thiện Mỹ Hưng Yên để được kiểm tra lại.
Cảm giác sau khi đặt thun: Điều gì là bình thường?

Những điều phải lưu ý sau khi đặt thun tách kẽ
Chế độ ăn uống
-
Nên ăn: cháo, súp, cơm mềm, đồ ăn dễ nhai, uống nhiều nước ấm.
-
Tránh ăn: đồ dai, dính (kẹo, bánh chưng), đồ giòn cứng (hạt, đá lạnh), thức ăn gây dính thun như kẹo kéo.

Vệ sinh răng miệng
-
Dùng bàn chải lông mềm, chải răng nhẹ nhàng vùng có thun.
-
Không dùng chỉ nha khoa, máy tăm nước mạnh tại vị trí thun.

Không tự ý tháo hoặc thay thun
-
Thun đặt đúng vị trí sẽ phát huy tác dụng từ 72h trở đi.
-
Nếu bị đau kéo dài hoặc thun bung → đến nha khoa để kiểm tra.
Những ai bắt buộc phải đặt thun tách kẽ?
-
Người niềng răng bằng mắc cài kim loại/sứ truyền thống
-
Trường hợp răng khít sát hoàn toàn, không có khe tự nhiên.
-
Người có cung răng hẹp, cần điều chỉnh trước khi bắt đầu kéo chỉnh.
-
Niềng răng cho người trưởng thành, răng ít di chuyển hơn trẻ em.
Một số câu hỏi thường gặp về thun tách kẽ
Dưới đây là 2 câu hỏi thường gặp tại Tâm Thiện Mỹ khi gắn thun tách kẽ niềng răng:
Rớt thun tách kẽ răng phải làm sao?
Trong quá trình đặt thun tách kẽ, nếu dây thun bị đứt hoặc rơi ra, bạn hãy đến gặp bác sĩ và khắc phục sớm để không làm ảnh hưởng đến tiến độ niềng răng.
Nuốt thun tách kẽ răng có sao không?
Trường hợp bạn nuốt phải thun tách kẽ thì cũng không cần quá lo lắng, thun được làm từ vật liệu an toàn nên sẽ sớm bị đào thải ra bên ngoài và không ảnh hưởng gì đến sức khỏe. Sau khi nuốt thun tách kẽ, bạn nên đến nha khoa để gắn lại thun mới.
Nhìn chung, đặt thun tách kẽ là một thủ thuật rất cần thiết trong quá trình chỉnh nha, giúp nới rộng khoảng cách giữa các răng và gắn khí cụ niềng răng dễ dàng hơn. Để đảm bảo hiệu quả chỉnh nha, bạn nên tuân thủ thời gian gắn thun tách kẽ, giữ cho thun không bị rơi/đứt và đừng quên lựa chọn địa chỉ nha khoa uy tín nhé.
Kết luận: Đừng xem nhẹ bước đặt thun tách kẽ – đây là “nền móng” cho cả quá trình niềng răng!
Đặt thun tách kẽ là bước nhỏ nhưng đóng vai trò nền tảng cho cả quá trình chỉnh nha. Một thao tác sai có thể khiến toàn bộ kế hoạch bị trì hoãn, tăng thời gian và chi phí điều trị.
Nếu bạn đang tìm kiếm địa chỉ niềng răng uy tín tại Hưng Yên, hãy đến Nha khoa Tâm Thiện Mỹ – phòng khám nha khoa chuyên sâu về niềng răng, chỉnh nha với đội ngũ bác sĩ giỏi và trang thiết bị hiện đại.
Tại sao nên chọn Nha khoa Tâm Thiện Mỹ?
Đội ngũ bác sĩ chỉnh nha giàu kinh nghiệm.
Trang thiết bị tiên tiến, công nghệ hiện đại.
Quy trình đặt chun tách kẽ nhanh chóng, nhẹ nhàng
Chi phí hợp lý, hỗ trợ trả góp 0%.
Theo dõi sát sao quá trình niềng răng, đảm bảo hiệu quả tối ưu.
Liên hệ ngay để được tư vấn miễn phí!

Hotline: 0971 634 999
Địa chỉ: Trụ sở: 30 Vũ Văn Cẩn- TX.Mỹ Hào- HY

