Trong hành trình niềng răng chỉnh nha, ngoài mắc cài, dây cung và thun liên hàm, bạn còn có thể nghe đến khái niệm gắn button chỉnh nha. Đây là một khí cụ nhỏ nhưng có vai trò quan trọng trong việc tạo lực kéo, điều chỉnh vị trí răng và khớp cắn. Vậy gắn button chỉnh nha để làm gì, có cần thiết không và có ảnh hưởng gì đến quá trình niềng răng không? Hãy cùng Nha khoa Tâm Thiện Mỹ tại Hưng Yên tìm hiểu chi tiết.
Button chỉnh nha là gì?
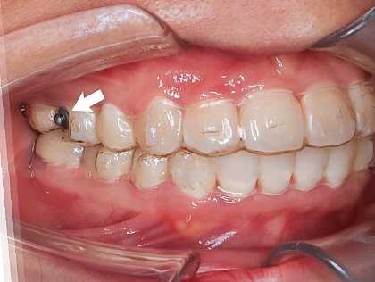
Button chỉnh nha là các nút nhỏ được gắn lên trên mặt răng bằng keo nha khoa chuyên dụng. Một số trường hợp bác sĩ sử dụng button như hạt mắc cài có thể gắn mặt trong hoặc ngoài của răng. Button được thiết kế có phần đầu nút button dễ dàng gắn thun với nhiều kích thước khác nhau và phần mặt gắn vào răng lõm, cong, có các vân để bác sĩ thao tác, gắn lên răng chắc chắn hơn.

Phần lõm trên mặt nút cũng giúp bác sĩ xác định đúng vị trí cần gắn, dễ điều chỉnh nếu cần. Button chỉnh nha là một khí cụ nha khoa có thể đặt ở nhiều vị trí răng khác nhau và có thể sử dụng cho cả phương pháp niềng răng mắc cài hay khay niềng trong suốt. Tuy vậy, không phải trường hợp nào cũng cần sử dụng button khi chỉnh nha.
Vậy trường hợp nào cần gắn button chỉnh nha và gắn nút button để làm gì, cùng Nha khoa Tâm Thiện Mỹ tìm hiểu thêm trong các nội dung tiếp theo bạn nhé!
Gắn button chỉnh nha để làm gì?
Vậy tại sao phải gắn button chỉnh nha, gắn button chỉnh nha để làm gì? Button chỉnh nha sẽ được bác sĩ chỉ định, gắn lên răng trong quá trình niềng răng với một số trường hợp. Button chỉnh nha có thể được đặt ở các vị trí khác nhau trên răng để giúp răng di chuyển khác nhau dù có đang gắn mắc cài, giúp cải thiện hiệu quả các vấn đề khác nhau với từng bạn.

Một số tình trạng bác sĩ tại Tâm Thiện Mỹ sẽ sử dụng button chỉnh nha thay cho một số mắc cài để điều chỉnh răng xoay, mọc kẹt, không gắn được mắc cài về đúng vị trí trên cung hàm mà không ảnh hưởng quá trình niềng răng, kế hoạch ban đầu của bác sĩ đưa ra. Sau khi gắn button niềng răng bác sĩ có thể mắc thêm dây chun để tạo lực tác động giúp răng được chỉnh về đúng vị trí mong muốn hiệu quả nhất.
Vậy nên, button chỉnh nha không phải răng nào cũng sẽ cần gắn mà bác sĩ sẽ gắn vào một số răng cần điều chỉnh và sẽ tháo button sau khi răng đó đã về đúng vị trí. Nên thời gian gắn và tháo button sẽ tùy vào chiếc răng được gắn di chuyển về đúng vị trí trong bao lâu. Bác sĩ sẽ kiểm tra tiến độ răng dịch chuyển và tháo button khi chúng đã giúp răng xoay về đúng trục. Vậy các trường hợp nào cần sử dụng button chỉnh nha
Button chỉnh nha không chỉ mang tính hỗ trợ mà còn có vai trò quyết định trong nhiều tình huống phức tạp. Một số tác dụng chính:
-
Hỗ trợ kéo răng khểnh, răng mọc lệch về đúng vị trí trên cung hàm.
-
Điều chỉnh khớp cắn hở, cắn sâu, cắn chéo nhờ kết hợp với dây thun liên hàm.
-
Tạo lực kéo răng di chuyển nhanh hơn và chính xác hơn, đặc biệt với các ca niềng khó.
-
Giúp đóng khoảng trống sau nhổ răng bằng cách kết nối dây thun từ button sang răng khác.
-
Ổn định vị trí răng khi niềng trong suốt Invisalign, vì button sẽ gắn trên răng để aligner (khay niềng trong suốt) phát huy lực chỉnh nha.
Các loại button chỉnh nha thường dùng
Tùy từng ca lâm sàng, bác sĩ tại Nha khoa Tâm Thiện Mỹ sẽ lựa chọn loại button phù hợp:
| Loại Button | Đặc điểm | Ưu điểm | Nhược điểm |
|---|---|---|---|
| Button kim loại | Làm từ thép không gỉ, bề mặt sáng bóng | Bền chắc, chịu lực tốt | Dễ nhìn thấy, ảnh hưởng thẩm mỹ |
| Button composite | Màu trắng gần giống răng thật | Thẩm mỹ cao, khó nhận ra | Độ bền kém hơn kim loại |
| Button mặt ngoài | Gắn ở mặt ngoài răng | Dễ thao tác, kiểm soát lực kéo tốt | Lộ rõ khi cười, nói |
| Button mặt trong | Gắn ở mặt trong răng | Tính thẩm mỹ cao, kín đáo | Khó vệ sinh, khó chịu hơn khi ăn nhai |
Button chỉnh nha sử dụng cho những trường hợp nào?
Button sẽ thường được sử dụng trong các trường hợp răng hô, răng mọc lệch, răng xoay trục và một số các trường hợp cần chỉnh nha phức tạp. Tuy nhiên, việc sử dụng button hay không còn sẽ phụ thuộc vào từng trường hợp cụ thể và quyết định sẽ được đưa ra bởi bác sĩ điều trị chính dựa trên tình trạng răng miệng của bạn.
Dưới đây là các trường hợp bác sĩ thường cần sử dụng button trong quá trình điều trị chỉnh nha:
Răng hô, răng bị khuyết:
Với một số trường hợp răng hô bị xoay trục, răng bị khuyết không gắn được mắc cài bác sĩ sẽ gắn button chỉnh nha để mắc chun kéo răng về đúng trục. Bác sĩ sẽ sử dụng kéo gắn trong nha khoa như composite để cố định button trên răng, giúp răng dịch chuyển ổn định, đúng vị trí bác sĩ mong muốn.
Răng bị mọc kẹt, xoay, nghiêng lệch trục răng:
Đối với những trường hợp răng bị mọc kẹt, nghiêng, lệch hàm, button sẽ giúp bác sĩ nha khoa kiểm soát được tốt hơn quá trình điều chỉnh các răng, giúp răng dịch chuyển về đúng trục dễ dàng hơn. Đồng thời, sẽ giúp thời gian niềng răng giảm bớt, đảm bảo cho kết quả điều chỉnh tốt nhất.

Răng thưa:
Trong một vài trường hợp bác sĩ sẽ sử dụng button chỉnh nha gắn vào răng và mắc thêm chun để kéo đóng khoảng thưa răng. Nhưng thường chỉ sử dụng với tình trạng điều chỉnh một vài răng, diện tích nhỏ và không phải trường hợp răng thưa nào cũng có thể dùng button chỉnh nha được.
Một số trường hợp chỉnh nha phức tạp khác:
Ngoài các trường hợp cụ thể như ở trên, sẽ có những trường hợp cần điều chỉnh phức tạp hơn, bác sĩ cũng có thể sử dụng button cũng như nhiều loại thiết bị chỉnh nha khác nhau để mang lại cho bạn kết quả chỉnh nha tốt nhất. Khi này button sẽ giúp giữ cho các khí cụ chỉnh nha ở đúng vị trí và tăng cường áp lực điều trị đem lại hiệu quả cao.
Chính vì vậy, việc sử dụng button trong chỉnh nha bác sĩ sẽ cần cân nhắc, kiểm tra tình trạng cụ thể của bạn trước khi quyết định gắn lên răng. Bác sĩ cũng sẽ trao đổi trước với bạn về việc gắn khí cụ này lên răng, hiệu quả của chúng như thế nào, mục đích là gì để bạn an tâm, không còn lo lắng khi có thêm khí cụ trong miệng.
Gắn button chỉnh nha có đau không?
-
Khi bác sĩ gắn button, bạn không cần tiêm tê và hoàn toàn không đau.
-
Sau khi gắn, có thể hơi vướng víu hoặc ê nhẹ trong vài ngày đầu, nhưng cảm giác này sẽ biến mất nhanh chóng.
-
Việc vệ sinh răng miệng khi có button cũng không quá khó, chỉ cần sử dụng bàn chải kẽ, tăm nước để làm sạch vùng quanh khí cụ.
Ưu nhược điểm của gắn button chỉnh nha
| Tiêu chí | Ưu điểm | Nhược điểm |
|---|---|---|
| Hiệu quả chỉnh nha | Giúp răng di chuyển chính xác, hỗ trợ các ca khó | Không phải ca nào cũng cần |
| Thẩm mỹ | Có loại composite tiệp màu răng | Loại kim loại dễ nhìn thấy |
| Sự thoải mái | Kích thước nhỏ, ít gây cộm | Những ngày đầu có thể hơi vướng |
| Vệ sinh | Vẫn dễ vệ sinh nếu dùng dụng cụ hỗ trợ | Nếu gắn trong, khó vệ sinh hơn |
| Chi phí | Không quá cao, đã nằm trong gói niềng | Nếu mất button phải gắn lại |
Lưu ý khi gắn nút button
Nút button không phải là khí cụ chỉnh nha ứng dụng cho tất cả các trường hợp niềng răng nên nhiều người còn khá xa lạ. Do đó nếu trong trường hợp chỉnh nha cần thiết áp dụng khí cụ này người niềng răng cần lưu ý chọn lựa chất lượng khí cụ tốt và quan trọng hơn là một bác sĩ có tay nghề, chuyên môn.
Trong kỹ thuật chỉnh nha niềng răng nói chung thì tay nghề của bác sĩ quyết định đến 80% tỉ lệ thành công, hiệu quả của việc thực hiện. Vì vậy để quá trình nắn chỉnh, định hướng răng về đúng vị trí trên cung hàm dù có áp dụng nút button hay không cũng cần được kiểm soát tiến hành bởi bác sĩ có kỹ thuật giỏi, giàu kinh nghiệm.
Thời gian gắn nút button chỉnh nha sẽ phụ thuộc vào vị trí và mức độ sai lệch của răng ở mỗi trường hợp bệnh nhân. Nút button chỉ gắn cho một vài răng đặc biệt có hướng mọc sai lệch và sẽ không làm ảnh hưởng đến quá trình dịch chuyển của các răng khác đang được nắn chỉnh bởi mắc cài dây cung. Thông thường thời gian gắn button cũng không quá lâu bởi đây là một khí cụ có hiệu quả giúp răng điều chỉnh hướng tốt.
Như đã chia sẻ ở trên, button chỉnh nha sẽ gần như một hạt mắc cài nên quá trình gắn button sẽ không đau, gây khó chịu cho bạn. Có thể sau đó bạn sẽ cảm thấy chưa quen vì có thêm một khí cụ mới và răng sẽ dần được dịch chuyển.

Ngoài ra, một số trường hợp bác sĩ sẽ gắn button ở mặt trong của răng có thể sẽ gây khó chịu phần lưỡi của bạn nhưng cũng bạn cũng không cần quá lo lắng vì sau một thời gian bạn sẽ quen dần và không cảm thấy khó chịu nữa. Button chỉnh nha được thiết kế tối ưu nên sau khi gắn bạn sẽ có thể dễ dàng làm quen. Sau một thời gian điều chỉnh răng về đúng trục bác sĩ sẽ tháo button, không gây ảnh hưởng gì cho quá trình sinh hoạt của bạn.
Bởi vậy, bạn có thể thoải mái khi gắn button chỉnh nha. Nếu không may gặp vấn đề sau khi gắn button bạn nên trao đổi ngay với bác sĩ tại Nha khoa Tâm Thiện Mỹ điều trị của mình để có hướng giải quyết cụ thể bạn nhé!
Chỉnh nha ở đâu uy tín tại Hưng Yên?
Việc gắn button tuy nhỏ nhưng đòi hỏi bác sĩ phải có kinh nghiệm và kỹ thuật chính xác để đạt hiệu quả tối đa.
Tại Nha khoa Tâm Thiện Mỹ – Hệ thống nha khoa uy tín hàng đầu Hưng Yên, khách hàng được đảm bảo:
-
👩⚕️ Đội ngũ bác sĩ chỉnh nha chuyên môn cao, nhiều năm kinh nghiệm.
-
🦷 Trang thiết bị hiện đại (máy quét 3D, X-quang Conebeam CT).
-
✅ Quy trình niềng răng an toàn, hiệu quả, cam kết rút ngắn thời gian điều trị.
-
🌟 Hỗ trợ button thẩm mỹ cho khách hàng niềng trong suốt Invisalign.
Kết luận
Gắn button chỉnh nha là bước quan trọng trong quá trình niềng, giúp răng dịch chuyển chính xác hơn, cải thiện khớp cắn và mang lại nụ cười đều đẹp. Đây là kỹ thuật hoàn toàn an toàn, không gây đau đớn và không ảnh hưởng đến sức khỏe răng miệng.
👉 Nếu bạn đang tìm kiếm địa chỉ niềng răng uy tín tại Hưng Yên, hãy đến ngay Nha khoa Tâm Thiện Mỹ để được thăm khám và tư vấn chi tiết.
Hệ thống cơ sở tại:
Liên hệ ngay để được tư vấn miễn phí!

Hotline: 0971 634 999
Đặt lịch hẹn nhanh chóng – Tiện lợi – Không chờ đợi!

