“ Tôi cảm thấy rất hài lòng vì đã chọn đúng nơi, đúng người để điều trị vấn đề răng miệng của mình.” Đó là những lời chia sẻ của bác Vũ Tuấn Hải, 71 tuổi tại Kẻ Sặt, Bình Giang, Hải Dương sau khi đã sử dụng dịch vụ cấy ghép tại Nha khoa Tâm Thiện Mỹ.
Khó khăn trong ăn uống, sinh hoạt
Bác Hải cho biết, trước đây bản thân từng bị viêm tai giữa và thường xuyên sử dụng đến thuốc tetracyclin. Lâu dần, ảnh hưởng của việc sử dụng thuốc không đúng cách cùng với việc chăm sóc không kỹ nên răng của bác bị ảnh hưởng nhiều. Qua thời gian cùng với công việc hoạt động cao. tim của bác sĩ bị viêm nha chu và củng cố rồi mạnh tuyết tăng dần. Bác sĩ cũng đã từng làm răng răng giả tháo gắn, tuy nhiên phương pháp này khá độc víu và thường xuyên bị rơi khi ăn uống.

Mong muốn lựa chọn giải pháp tối ưu để phục hồi lại hàm răng đã mất, bác đã thử tìm hiểu phương pháp trồng răng Implant. Tuy nhiên, bác Hải vẫn đo phần vì sợ đau; mà phần lớn sợ ảnh hưởng sức khỏe làm bác lý tiểu đường. Được tư vấn của các bác sĩ và thành viên của gia đình; bác Hải đã quyết định lựa chọn nha khoa Tâm Thiện Mỹ để giải quyết vấn đề răng miệng của mình.
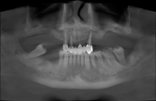
Qua thăm khám và chụp phim X-quang, đội ngũ bác sĩ tại Nha khoa Tâm Thiện Mỹ đánh giá trạng thái của bác Hải:
- Mất nhiều răng hàm trên, các răng còn lại ở trong bụi.
- Ảnh tới tính thẩm mỹ, chức năng ăn vỏ, gần như không thể nghiền nát.
Các bác sĩ hội ngộ và đưa ra phác thảo điều trị chi tiết cho bác Hải:
- Trụ Implant 6 trụ răng Nobel của Mỹ
- Ứng dụng công nghệ hiện đại và sự hỗ trợ của máy tính giúp quá trình tích hợp Implant diễn ra an toàn, nhanh chóng, tỷ lệ thành công đạt tới 99,8%.
Hành trình lấy lại khả năng ăn giáo với trồng răng Implant
Sau khi được bác sĩ tư vấn kế hoạch điều trị, bác Hải đã tiến hành trồng răng Implant, phục hồi răng mất. Nhờ đó đảm bảo tính thẩm mỹ và cải thiện các chức năng thực tế của nền như răng thật. Có thể tìm thấy màu sắc,phong cách rất hài hòa và nữ tính trẻ ra hơn rất nhiều.

Vòng chọn răng răng Cấy ghép công nghệ hiện đại tại Nha khoa Tâm Thiện Mỹ, giờ đây bác Hải đã có thể lấy lại nụ cười tự tin, sức khỏe cải thiện và tận hưởng cuộc sống hạnh phúc bên gia đình. Chia sẻ cảm nhận về quá trình cấy ghép Implant, bác Hải cho biết bản thân rất hài lòng với kết quả sau thần kinh, đặc biệt là tính chuyên nghiệp và trách nhiệm của bác sĩ hoàng tử tại Tâm Thiện Mỹ.
Những chia sẻ thực tế của bác Hải chính là minh chứng rõ ràng nhất cho sự hài lòng của bác khi thực hiện cấy ghép Implant tại Tâm Thiện Mỹ:
Một điều bác Hải muốn nhắn tin tới những người bị mất răng chính là nếu có điều kiện, hãy đi làm răng càng sớm càng tốt. Đặc biệt, hãy chọn địa chỉ uy tín như Nha khoa Tâm Thiện Mỹ để đảm bảo an toàn, hiệu quả và không gây biến chứng.
