Răng thưa là tình trạng gặp khá phổ biến, thường xuất hiện nhiều ở răng cửa và làm giảm tính thẩm mỹ. Vậy làm gì khi răng có khe thưa, thưa răng cửa nên chỉnh nha, bọc sứ hay dán sứ Veneer. Trong bài viết dưới dây, Nha khoa Tâm Thiện Mỹ sẽ mách bạn cách khắc phục răng bị thưa an toàn và hiệu quả nhé.
Nguyên nhân gây thưa răng?
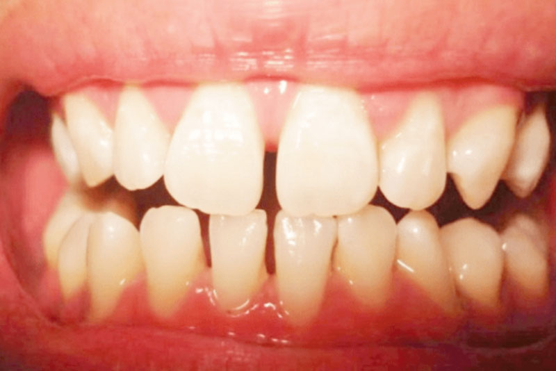
Răng thưa là hiện tượng khe giữa các răng không khít với nhau và có một khoảng trống giữa các răng. Khoảng trống này không chỉ ảnh hưởng đến khả năng ăn uống mà con ảnh hưởng đến tính thẩm mỹ của răng, nhất là khi chúng ta cười. Nguyên nhân chính gây ra tình trạng thưa răng là do sự bất cân xứng giữa xương và độ lớn của răng. Ngoài yếu tố trên thì thưa răng còn bắt nguồn từ các nguyên nhân khác như: yếu tố bẩm sinh hoặc các thói quen xấu trong sinh hoạt thường ngày ít nhiều cũng sẽ ảnh hưởng đến vấn đề thưa răng của người bệnh.

Nguyên nhân gây thưa răng do yếu tố bẩm sinh
Một số tình trạng thưa răng do yếu tố bẩm sinh như:
- Kích cỡ răng nhỏ: Do 2 răng cửa có kích cỡ nhỏ nên không đủ che lấp khoảng trống giữa 2 răng; do đó, tạo ra khoảng cách của 2 răng cửa cách khá xa nhau.
- Do cung hàm răng quá rộng: Răng cửa mọc đúng vị trí và kích cỡ tương xứng nhưng cung hàm quá rộng trong khi răng lại ngắn và nhỏ, khiến 2 răng cửa cách xa nhau tạo nên khe hở.
- Răng cửa thưa do khớp cắn: Thông thường những trường hợp thiếu răng bẩm sinh sẽ gây ra kẽ thưa khá lớn, có thể hơn 3mm.
Nguyên nhân thưa răng do thói quen tật xấu.
Trong đời sống chúng ta không thể kiểm soát hết các thói quen và phần nhiều thói quen là những tật xấu mà chúng ta không hề hay biết. Ví như tật xỉa tăm hàng ngày sau mỗi bữa ăn nhằm mục đích làm sạch các vụn thức ăn giắt trong răng. Đây là thói quen đi vào máu của nhiều người và thường họ không biết đây chính là tác nhân gây nên tình trạng thưa răng nếu cứ duy trì lâu dài. Việc sử dụng chỉ tơ nha khoa không đúng kỹ thuật cũng làm cho răng bị thưa dần.
Ngoài ra, thói quen đẩy lưỡi thường xuyên cũng là nguyên nhân gây thưa kẽ răng. Đây là thói quen thường thấy ở những bạn có lưỡi to, lưỡi có khuynh hướng đẩy ra phía trước dẫn đến các nhóm răng ngày càng hô và thưa kẽ đặc biệt là răng cửa.

Nguyên nhân thưa răng do bệnh lý răng miệng phát sinh
Khi răng miệng bị bệnh lý tấn công nó sẽ dẫn tới tình trạng răng bị lung lay và dịch chuyển, xô đẩy nhau và làm cho khoảng cách giữa các răng cũng có sự thay đổi. Tình trạng này khiến răng trở nên lộn xộn, thưa ra, ảnh hưởng đến chức năng ăn nhai của răng cũng như chức năng thẩm mỹ của khuôn miệng.
Răng thưa ảnh hưởng như thế nào?
Những chiếc răng mọc lên không đúng vị trí hay do một số nguyên nhân nào đó khiến răng bị thưa sẽ để lại những ảnh hưởng không tốt cho sức khỏe. Dưới đây là một số bất lợi khi răng bị thưa:
Giảm thẩm mỹ khuôn mặt
Hàm răng thưa khiến khuôn mặt mất cân đối, nụ cười từ đó cũng kém phần duyên dáng. Điều này khiến người bị răng thưa luôn cảm thấy tự ti, ngại giao tiếp với mọi người xung quanh.
Tăng nguy cơ mắc bệnh lý răng miệng
Răng thưa là tình trạng các răng mọc cách xa nhau, tạo ra khoảng trống giữa các răng. Tại những kẽ hở đó sẽ tạo điều kiện cho thức ăn bị nhồi nhét. Nếu không được vệ sinh sạch sẽ vi khuẩn sẽ hình thành, tấn công răng gây sâu răng, viêm lợi, viêm tủy răng,… Đây cũng chính là nguyên nhân khiến miệng của bạn có mùi hôi khó chịu.
Ảnh hưởng đến khả năng ăn nhai
Răng của có vai trò cắt nhỏ thức ăn trước khi đưa vào nghiền nát, nhưng khi răng cửa thưa chức năng của những chiếc răng cửa sẽ bị giảm đi, thức ăn khó được cắt nhỏ hoàn toàn như mong muốn. Từ đó các răng hàm phải làm việc nhiều hơn để có thể nghiền nhỏ thức ăn để đưa xuống hệ tiêu hóa.
Tình trạng này kéo dài có thể làm cho men răng bị mòn, gây ê buốt răng, việc ăn nhai trở nên khó khăn hơn, hệ tiêu hóa cũng từ đó bị ảnh hưởng.
Gây sai lệch khớp cắn
Răng thưa nếu không được khắc phục sớm những khe thưa sẽ ngày càng dịch chuyển làm cho khe thưa lớn hơn. Lâu ngày có thể dẫn tới sai lệch khớp cắn gây ảnh hưởng đến khả năng ăn nhai cũng như thẩm mỹ.
Tăng nguy cơ mất thêm răng
Những kẽ hở giữa các răng sẽ khiến lực liên kết giữa các răng bị yếu đi và dễ bị lung lay, nguy cơ mất răng sớm cũng có thể xảy ra.
Phương pháp khắc phục răng thưa an toàn và phổ biến nhất hiện nay
Tại nha khoa Tâm Thiện Mỹ, tuỳ thuộc và mức độ thưa răng của mỗi người, sẽ có cách khắc phục tình trạng thưa răng khác nhau. Theo đó,nếu gặp phải các vấn đề về thưa răng, bạn có thể áp dụng 1 trong 3 phương pháp dưới đây để cải thiện:
Bọc răng sứ thẩm mỹ cho răng bị thưa
Đây là phương pháp được khá nhiều người lựa chọn khi có nhu cầu khắc phục tình trạng răng thưa nhẹ, hay răng cửa thưa. Bọc răng sứ sử dụng một mão răng giả có kích thước và màu sắc tương tự răng thật để bọc bên ngoài trụ răng, làm khít khoảng trống giữa các răng. Đây là một giải pháp hiệu quả cho răng thưa khi bạn không thể thực hiện phương pháp niềng răng lâu dài.

Các trường hợp răng như nào nên dùng phương pháp này?
Nếu dán sứ veneer chỉ mang lại hiệu quả với những khe thưa dưới 3mm thì bọc răng sứ có thể cải thiện khe thưa từ 3mm trở lên. Những trường hợp sau đây bạn có thể lựa chọn bọc răng sứ:
- Khe cửa thưa do kích cỡ răng nhỏ
- Do cung hàm răng quá rộng tạo nên khe hở.
- Răng cửa thưa do khớp cắn
- Khe thưa do các bệnh lý như viêm lợi, viêm quanh răng gây tình trạng tiêu xương, tụt lợi tạo khe thưa hay tam giác đen
- Do thói quen xấu: như dùng tăm xỉa răng, đánh răng với lực mạnh,… làm mòn kẽ răng khiến răng bị thưa.
Ưu điểm khi bọc sứ cho răng thưa:
- Làm răng sứ cho răng thưa giúp khe răng thưa biến mất với hiệu quả thẩm mỹ cao
- Răng sứ với chất liệu cao cấp đảm bảo lực ăn nhai ổn định
- Độ bền dài lâu, ổn định khi được phục hình đúng kỹ thuật và chăm sóc tốt – trung bình từ 15 – 20 năm
Nhược điểm khi bọc sứ cho răng thưa:
- Chi phí bọc răng sứ nhỉnh hơn so với hàn răng thưa
- Để bọc răng sứ cho răng thưa bác sĩ sẽ cần mài mô răng để chụp mão sứ lên trên; nếu làm không đúng kỹ thuật có thể gây ê, buốt răng. Ngoài ra, nếu răng sứ không khớp với trụ răng cũng gây ra những bệnh lý răng miệng nguy hiểm, tạo điều kiện cho vi khuẩn tấn công.
Niềng răng thưa – Giải pháp hiệu quả
Trong các phương pháp khắc phục tình trạng răng thưa, niềng răng được coi là giải pháp tối ưu hơn cả. Phương pháp này mang lại hiệu quả cao, điều trị một cách triệt để bằng cách sử dụng các khí cụ chuyên dụng để dịch chuyển các răng khít lại với nhau.
Một số ưu điểm của phương pháp niềng răng thưa:
- Phù hợp với mọi đối tượng với khả năng khắc phục được toàn bộ khuyết điểm của răng từ đơn giản đến phức tạp như răng thưa khoảng cách lớn, răng thưa kèm theo tình trạng hô, vẩu, lệch lạc,…
- Niềng răng cửa thưa giúp bạn bảo tồn tối đa răng thật. Do không phải mài răng nên răng của bạn sẽ luôn giữ được độ chắc khỏe theo thời gian.
- Nắn chỉnh răng thưa giúp bạn giải quyết hoàn toàn các vấn đề khe thưa trên cung hàm, điều chỉnh khớp cắn, giúp khuôn mặt hài hòa, thanh toát.
Nhược điểm của phương pháp niềng răng:
- Thời gian niềng răng khá lâu, trung bình cần từ 18 – 30 tháng để di chuyển các răng về đúng vị trí.
- Trong quá trình niềng, người bệnh cũng sẽ gặp nhiều đau đớn, bất tiện, kém thẩm mỹ nên e ngại khi giao tiếp, nói chuyện.
- Ngoài ra, chi phí niềng răng khá cao nên nhiều người còn cân nhắc.
Tuy có một vài nhược điểm là vậy nhưng phương pháp niềng răng vẫn được áp dụng phổ biến hiện nay, bạn có thể cân nhắc sử dụng một số phương pháp niềng răng sau:
- Niềng răng mắc cài: Gồm có mắc cài kim loại, mắc cài sứ, mắc cài mặt lưỡi, mắc cài tự buộc. Phương pháp này sử dụng dây cung được làm chất liệu thép không gỉ cứng chắc và các mắc cài để kéo răng về đúng vị trí, hiệu quả cao. Tuy nhiên, nhược điểm của phương pháp này mất thẩm mỹ và rất khó vệ sinh răng miệng.
- Niềng răng không mắc cài (khay niềng trong suốt): Phương pháp này sử dụng khay niềng đeo trực tiếp lên răng, vì vậy khá tiện lợi sử dụng, có thể tháo ra khi ăn uống. Hơn nữa tính thẩm mỹ cao nên ngày càng được nhiều người sử dụng.

Dán sứ veneer cho răng thưa
Dán sứ veneer là một kỹ thuật trong phục hình răng sứ thẩm mỹ bảo tồn của nha khoa hiện đại. Phương pháp này không cần mài răng hoặc mài siêu mỏng chỉ từ 0.3 – 0.5mm nhưng vẫn đảm bảo đóng khe thưa giúp bạn sở hữu nụ cười đẹp như ý.
Các trường hợp răng như nào nên dùng phương pháp này?
- Răng thưa hay tam giác đen do các bệnh lý như viêm lợi, viêm quanh răng gây tình trạng tiêu xương, tụt lợi gây nên
- Răng cửa thưa do những thói quen xấu như dùng tăm xỉa răng, đánh răng với lực mạnh,… làm mòn kẽ răng khiến răng bị thưa.
- 2 răng cửa có kích cỡ nhỏ không đủ che lấp khoảng trống giữa 2 răng tạo ra khe thưa
- Răng cửa thưa do cung hàm răng quá rộng
Ưu điểm khi dán sứ đóng khe thưa

- Màu răng tự nhiên, bảo vệ tối đa răng gốc, nhiều trường hợp nói KHÔNG với mài răng
- Thời gian thực hiện nhanh chóng, chỉ với 2 lần hẹn với bác sĩ
- Quá trình thực hiện nhẹ nhàng – không đau – nói không với điều trị tủy. Không ê buốt, không viêm lợi nếu miếng dán sứ được dán chuẩn kỹ thuật, khít sát. Thoải mái ăn nhai không lo sứt, mẻ, bong rơi veneer
- Độ bền cao, trung bình thời gian sử dụng miếng dán sứ veneer cho khe thưa là 20 -25 năm
Nhược điểm khi dán sứ veneer cho răng thưa
- Dán sứ veneer chỉ mang lại hiệu quả với những khe thưa từ 3mm trở xuống; bạn nên thực hiện dán sứ veneer khi thưa răng cửa hoặc thừa 1 số răng. Để giữ răng gốc và hết thưa nhiều răng trên cung hàm bạn nên niềng răng để có kết quả tốt nhất.
- Chi phí để dán sứ veneer cao hơn hàn trám răng cũng như bọc răng sứ
Trám răng thưa
Trám răng thưa là giải pháp điều trị tình trạng răng thưa phổ biến hiện nay và thường được xem như một phương pháp điều trị nha khoa thẩm mỹ.
Trong đó, nha sĩ sẽ sử dụng loại vật liệu trám thẩm mỹ, hay còn được gọi là Composite có tính dẻo để tạo hình trên răng. Đây là loại vật liệu với màu sắc có thể tùy chỉnh theo màu răng thật nên khi trám nhìn sẽ rất tự nhiên và giống răng thật. Đây không phải là một phương pháp điều trị đặc biệt xâm lấn, nó phù hợp với hầu hết mọi người.
Ưu điểm của trám răng thưa
- Không gây ảnh hưởng xấu tới răng thật bởi không xâm lấn vào cấu trúc răng. Qua đó răng thật được bảo tồn và đảm bảo chức năng ăn nhai như bình thường.
- Khắc phục khuyết điểm răng thưa, khiến hàm răng đều, đẹp.
- Ngăn ngừa sâu răng.
- Thủ thuật nhanh chóng, chỉ cần 15 phút để hoàn thành trám một kẽ răng thưa.
- Vật liệu trám có màu sắc y hệ răng thật nên không bị lộ miếng trám.
Nhược điểm:
- Phương pháp trám răng thưa có thời gian sử dụng khá ngắn, chỉ khoảng 2-3 năm và dễ bị rơi ra nếu như ăn các thức ăn quá cứng, dai.
Răng thưa cần được xử lý đúng biện pháp, đúng kỹ thuật để tránh gây hại cho cấu trúc răng, sức khỏe răng miệng. Bất kể rằng bạn gặp phải tình trạng răng như thế nào, mức độ ra sao, bạn đều có thể tìm cho mình giải pháp tối ưu và phù hợp nhất khi đến với Nha khoa Tâm Thiện Mỹ. Tại đây, chúng tôi có:
- Đội ngũ chuyên môn, với hơn 15 năm kinh nghiệm, từng giải quyết thành công cho hàng ngàn trường hợp bị răng thưa, răng khấp khểnh, sai lệch khớp cắn.
- Áp dụng nhiều kỹ thuật xử lý hiện đại, công nghệ cao trong quá trình hàn trám răng, niềng răng, bọc răng sứ, mang đến cho khách hàng kết quả cao nhất.
- Hệ thống thiết bị máy móc được nhập khẩu trực tiếp từ nước ngoài, nâng cấp thường xuyên, hỗ trợ tốt nhất cho quá trình thăm khám, điều trị. Ngoài ra, Tâm Thiện Mỹ cũng ứng dụng quy trình dịch vụ chuẩn Y khoa, chuyên nghiệp, nhanh chóng, không để khách hàng phải chờ đợi lâu.
- Chi phí dịch vụ được công khai minh bạch, niêm yết rõ ràng, có khuyến mãi giảm giá trong những ngày đặc biệt, riêng dịch vụ niềng răng có hỗ trợ khách hàng trả góp với lãi suất 0%.
Kết luận
Răng thưa không chỉ làm giảm tính thẩm mỹ mà còn tiềm ẩn nhiều nguy cơ cho sức khỏe răng miệng. Các giải pháp như trám răng thẩm mỹ, niềng răng chỉnh nha, bọc răng sứ, dán sứ Veneer đều mang lại hiệu quả, tùy theo mức độ thưa răng và nhu cầu của khách hàng.
👉 Để được tư vấn chính xác và chọn giải pháp phù hợp nhất, hãy liên hệ ngay Nha khoa Tâm Thiện Mỹ Hưng Yên – địa chỉ tin cậy hàng đầu cho nụ cười đẹp và khỏe mạnh.
Hệ thống cơ sở tại:
Liên hệ ngay để được tư vấn miễn phí!

Hotline: 0971 634 999
Đặt lịch hẹn nhanh chóng – Tiện lợi – Không chờ đợi!

